Research confirms link between sleep apnea and Alzheimer’s disease

Research confirms link between sleep apnea and Alzheimer’s disease

New research has confirmed long-suspected links between sleep apnea and Alzheimer’s disease, finding identical signs of brain damage in both conditions.

While the cause of Alzheimer’s disease remains a mystery, amyloid plaques that are toxic to brain cells are known indicators of the disease.

The new research showed these plaques start in the same place and spread in the same way in the brains of people with obstructive sleep apnea, as in those with Alzheimer’s.

The clinical study by Australian and Icelandic researchers, led by RMIT University, is published in the journal Sleep.

Lead investigator Professor Stephen Robinson said scientists have known the two diseases are related, but what drives the connection is still unclear.

“We know that if you have sleep apnea in mid-life, you’re more likely to develop Alzheimer’s when you’re older, and if you have Alzheimer’s you are more likely to have sleep apnea than other people your age,” he said.

“The connection is there but untangling the causes and biological mechanisms remains a huge challenge.

“Our study is the first to find Alzheimer’s-like amyloid plaques in the brains of people with clinically-verified obstructive sleep apnea.

“It’s an important advance in our understanding of the links between these conditions and opens up new directions for researchers striving to develop therapies for treating, and hopefully preventing, Alzheimer’s disease.”

Significantly, the severity of sleep apnea was linked with a corresponding build-up of amyloid plaques.

The study found that treatment with continuous positive airway pressure (CPAP) – the standard approach for moderate to severe sleep apnea – made no difference to the amount of plaques found in the brain.

Brain damage connection

Obstructive sleep apnea (OSA) is a serious condition that occurs when a person's breathing is repeatedly interrupted during sleep.

OSA is increasingly common, affecting more than 936 million people worldwide and up to 30% of elderly people. Around one in four Australian men aged over 30 have some degree of sleep apnea.

Alzheimer’s is the most common form of dementia, affecting up to 70% of all people with dementia, with age the biggest risk factor for developing the disease.

Image showing neurons with amyloid plaques. Neurons with amyloid plaques, indicators of Alzheimer's disease.

The new study investigated the extent of Alzheimer’s-like indicators in autopsy tissue from the hippocampus of 34 people and the brainstems of 24 people with OSA.

The researchers looked for both amyloid plaques and neurofibrillary tangles, another known indicator of Alzheimer’s disease.

The hippocampus is the part of the brain associated with memory.

In Alzheimer’s disease, plaques and tangles first appear in a nearby cortical area and then move into the hippocampus, before spreading to the rest of the cortex.

While the study found both plaques and tangles in the brains of people with sleep apnea, the plaques showed a stronger association with severe sleep apnea.

“In cases of mild sleep apnea, we could only find plaques and tangles in the cortical area near the hippocampus, precisely where they are first found in Alzheimer’s disease,” said Robinson, a researcher in RMIT’s School of Health and Biomedical Sciences and Austin Health’s Institute for Breathing and Sleep (IBAS).

The subjects of the research showed no clinical symptoms of dementia before they died, suggesting they may have been in an early pre-dementia stage.

“While some people may have had mild cognitive impairment or undiagnosed dementia, none had symptoms that were strong enough for an official diagnosis, even though some had a density of plaques and tangles that were sufficiently high to qualify as Alzheimer’s disease,” Robinson said.

“The next stage for our research will be to continue analysing these samples to get a full understanding of the neuropathology, including signs of inflammation and changes to the blood vessels that supply nutrients to the brain.

“The sample size for this study was limited, so we would also like to work towards establishing a clinical study with a larger cohort.”

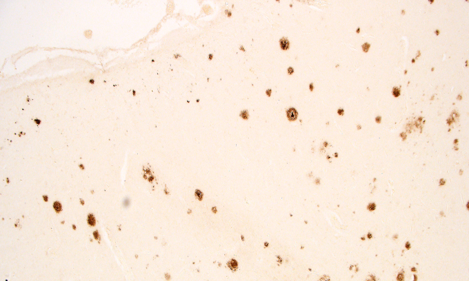
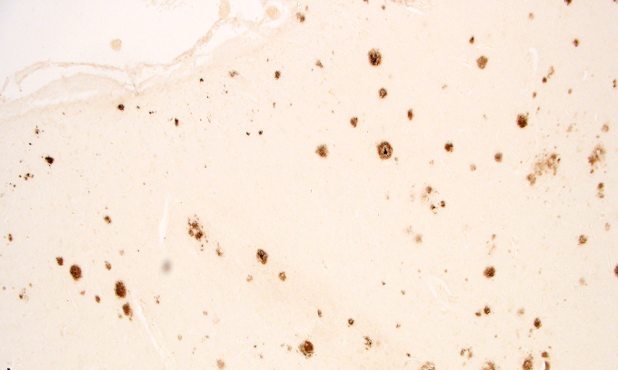
Microscope image of amyloid plaques in brain tissue. The study showed the severity of sleep apnea was linked with a corresponding build-up of amyloid plaques (seen here as brown patches in the brain tissue).

The researchers acknowledge the support from the Landspitali Biobank, Iceland.

Alzheimer’s disease neuropathology in the hippocampus and brainstem of people with obstructive sleep apnea’, with first author Dr Jessica Owen and collaborators from the University of Iceland and National University Hospital of Iceland, is published in Sleep (DOI: 10.1093/sleep/zsaa195).

 

Story: Gosia Kaszubska

29 September 2020

Share

29 September 2020

Share

  • Research
  • RMIT Europe

Related News

aboriginal flag float-start torres strait flag float-start

Acknowledgement of Country

RMIT University acknowledges the people of the Woi wurrung and Boon wurrung language groups of the eastern Kulin Nation on whose unceded lands we conduct the business of the University. RMIT University respectfully acknowledges their Ancestors and Elders, past and present. RMIT also acknowledges the Traditional Custodians and their Ancestors of the lands and waters across Australia where we conduct our business - Artwork 'Sentient' by Hollie Johnson, Gunaikurnai and Monero Ngarigo.

More information