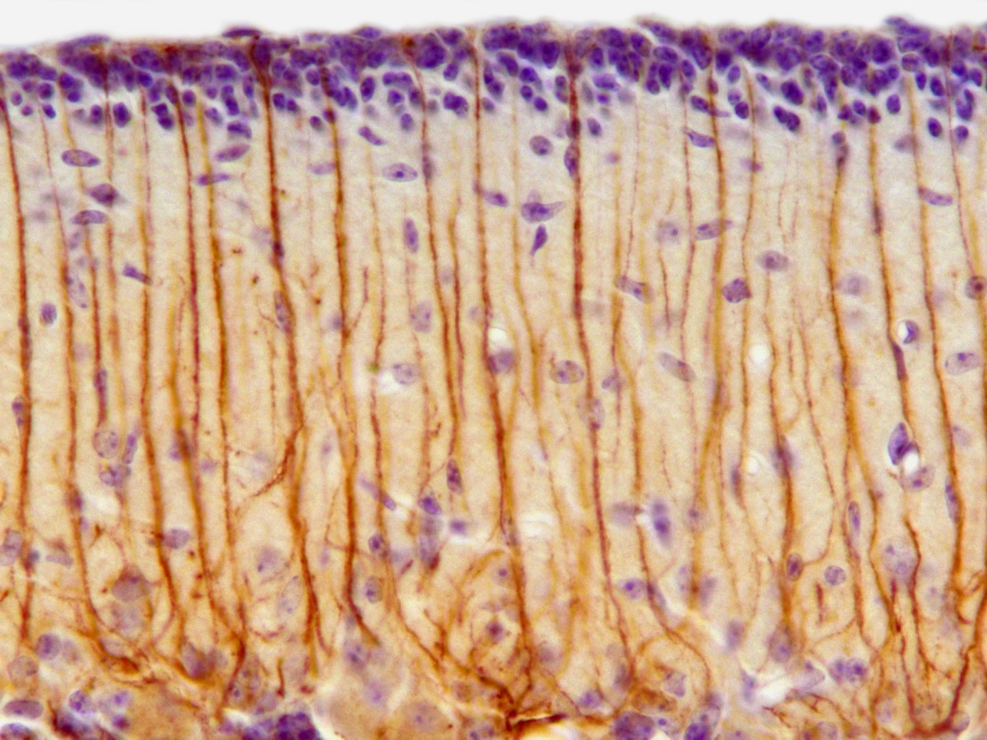
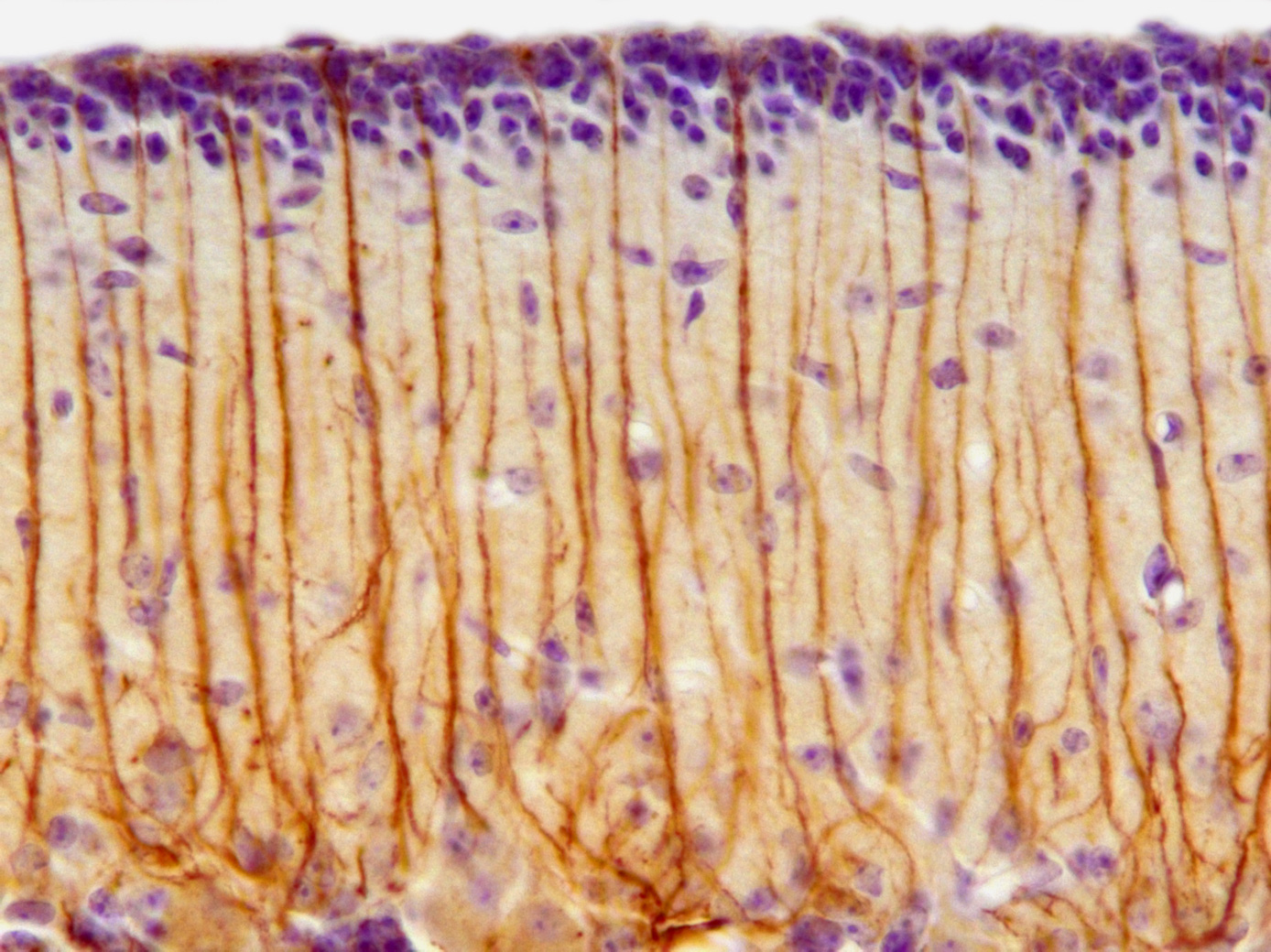
European research lays the groundwork for future stem cell clinical trials
RMIT has contributed to an international consortium exploring how human mesenchymal stem cells could help to repair brain injury in children born preterm.
The impact of early life events on lifelong health
RMIT researchers are investigating the earliest moments of life and their role in the development of neurodevelopmental disorders.
Blood test offers hope for more effective ovarian cancer treatment
A major collaboration has revealed a blood test to guide more effective ovarian cancer treatment, by identifying the women more likely to respond to a treatment known as PARP inhibitor therapy.
Australia’s mental health services are buckling due to rising demand, staff shortages and patient violence
A group of RMIT experts are calling for interventions to support Australia’s exhausted, overwhelmed mental health nurses.
