Vice-Chancellor's Senior Research Fellow
School of Health and Biomedicine
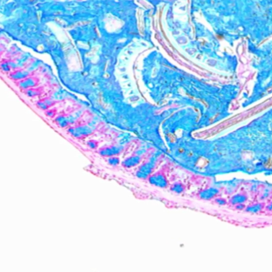
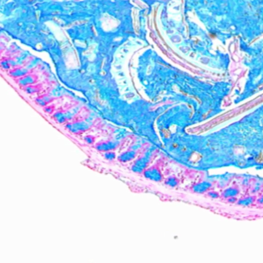
RMIT neuroscientist @Eli_melb is helping us better understand the critical links between our gut brain and neurological disorders like autism and Parkinson’s disease.

RMIT University acknowledges the people of the Woi wurrung and Boon wurrung language groups of the eastern Kulin Nation on whose unceded lands we conduct the business of the University. RMIT University respectfully acknowledges their Ancestors and Elders, past and present. RMIT also acknowledges the Traditional Custodians and their Ancestors of the lands and waters across Australia where we conduct our business - Artwork 'Sentient' by Hollie Johnson, Gunaikurnai and Monero Ngarigo.
Learn more about our commitment to Indigenous cultures